+918048030554
Currently it only shows your basic business info. Start adding relevant business details such as description, images and products or services to gain your customers attention by using Boost 360 android app / iOS App / web portal.

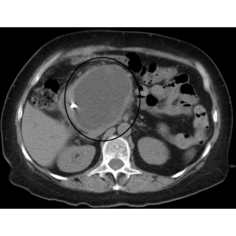
A pancreatic pseudocyst is a fluid-filled sac that forms in the abdomen, usually as a complication of pancreatitis, particularly chronic or severe acute pancreatitis. Unlike true cysts, pseudocysts do not have an epithelial lining; instead, they are surrounded by fibrous or granulation tissue. Pseudocysts develop when pancreatic enzymes and inflammatory fluids leak into the surrounding tissues, leading to the accumulation of fluid. They often contain pancreatic juice, blood, and necrotic tissue. Most pseudocysts form several weeks after the initial inflammation or pancreatic injury. Symptoms of pancreatic pseudocysts vary depending on their size and location. Small pseudocysts may be asymptomatic, while larger ones can cause abdominal pain, bloating, nausea, vomiting, early satiety, or a palpable abdominal mass. Complications include infection, rupture, bleeding, or compression of nearby organs such as the stomach or bile duct, leading to more severe clinical manifestations like jaundice or gastrointestinal obstruction. Diagnosis is typically made using imaging studies such as abdominal ultrasound, CT scan, or MRI. These tests help determine the size, location, and nature of the cystic lesion. Endoscopic ultrasound (EUS) can provide more detailed images and allow for aspiration of cyst contents for analysis. Management depends on the size, symptoms, and presence of complications. Asymptomatic pseudocysts smaller than 6 cm often resolve spontaneously. Symptomatic or enlarging pseudocysts, or those persisting beyond 6 weeks, may require drainage. This can be achieved through endoscopic, percutaneous, or surgical methods. Endoscopic drainage is often preferred due to its minimally invasive nature. In conclusion, pancreatic pseudocysts are important complications of pancreatitis that require careful evaluation. Timely diagnosis and appropriate management are essential to prevent serious outcomes and improve patient prognosis. Consult us today.👇 Contact Us📞 +91 7303055137 Email:care.cure.clinic.2020@gmail.com